令和7年9月30日
一般撮影室
当院の一般撮影室では、胸部・腹部・脊椎・四肢など、身体の様々な部位に対するX線(レントゲン)検査を行っております。
X線撮影は、痛みを伴わず短時間で実施できるため、初期診断や経過観察など、日常診療において非常に重要な役割を担っています。
当院では、最新のデジタルX線撮影装置を導入しており、従来よりも被ばく線量を抑えながら、鮮明で高解像度な画像を得ることが可能です。さらに、AI(人工知能)による画像解析支援システムを導入し、医師の読影をサポートしています。AI技術は胸部レントゲン画像における肺炎・結節・気胸などの異常陰影の検出に活用されており、画像診断時の見落とし防止や早期診断の精度向上に貢献しています。AIはあくまでも補助的な役割ではありますが、医師の経験と技術を支える重要なツールとして、安全で確実な医療の提供をサポートしています。
撮影は、国家資格を持つ13名の診療放射線技師が担当し、全ての患者様に安心して検査を受けていただけるよう配慮しております。
当院は、AIやデジタル技術を積極的に活用しながら、常に質の高い医療を提供できる体制を整えています。

CT
当院ではGEヘルスケア製Revolution Maximaを設置しています
CTはX線とコンピュータを用いて、体の内部を自由な角度の断面で画像化できる検査で、頭部・胸部・腹部に加え、血流や骨などの詳細な情報を得ることができます。CTの高精度な画像を診断に用いることは、様々な病気の早期発見や治療後の経過観察に役立っています。検査は短時間で終了するため、患者様の負担も少ないです。また、実際の撮影したデータの統計を元にして、当院で行われた検査の被ばく線量が適正であることを年に2回検討し、線量低減対策に取り組んでいます。
検査に際してご不明な点がございましたらご相談ください。

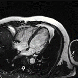
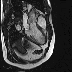
MRI
MRIとはMagnetic Resonance Imaging(磁気共鳴画像法)の略で、強力な磁石と電波を使って様々な角度から体の断面を画像化する検査です。
X線を使用しないため、放射線被ばくの心配がなく、軟部組織(筋肉、靱帯、神経など)の描出に優れており、がんの有無や広がり、転移の有無などを調べることができます。また、造影剤を用いずに血管を描出することが可能です。
部位や目的により異なりますが、検査時間は15分から40分程度です。複雑で高度な検査の場合は60分程かかる場合もあります。
当院ではCanon社製Vantage Fortian MRI 1.5Tを設置しており、主に脳血管疾患、脊椎疾患、閉塞性動脈硬化症などの下肢疾患、腹部疾患、心臓疾患、関節等の検査を行っています。

MRI禁忌事項(体内に電子機械挿入中の方は、当院でMRI検査を受けることができません)
・ペースメーカー
・ICD(除細動器)
・神経刺激装置
・磁性体の脳動脈瘤クリップ
・電磁式脳室シャント
・人工内耳
・磁石式義眼
・金糸(美容整形・顔皮リフト用糸)
以下の項目に該当する方は検査を受けられない可能性があります。
・手術により金属を挿入している方
・閉所恐怖症な方
・妊娠中およびその可能性がある方
・入れ墨やアートメイクをしている方
検査前に外す必要があるもの
・リブレセンサーなどの血糖値測定器具、持続皮下インスリン注入器具、カニューレ
・身につけている金属類(眼鏡、入れ歯、補聴器、アクセサリー、カイロ、エレキバン、置針、義肢など)
・化粧品(マニキュア、アイシャドウ、マスカラ)
・コンタクトレンズ ※ 特にカラーコンタクトレンズは危険です。
・ウィック、かつら、ミリオンヘアースプレー
・ヒートテック、ワイヤー・ホック付き下着
・コルセット、補聴器、万歩計、湿布
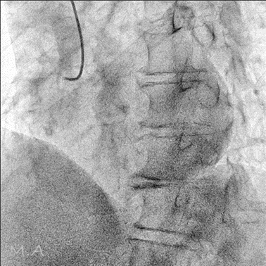
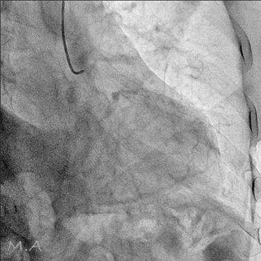
血管撮影装置
当院は令和6年3月の新病院発足に伴い、より高精度で安全な検査・血管内治療(IVR:Interventional Radiology)を提供するため最新の島津製作所製バイプレーンシステムTrinias B12s(Opera smart)を導入しました。
平面型X線検出器(FPD:Flat Panel Detector)を搭載し、カテーテルを用いた高度な血管内治療においてより少ないX線で高い解像度の画像を描出可能となりました。
バイプレーンシステムを採用したことにより、一回の造影剤注入で2方向撮影が可能となり、従来のシングルプレーンと比較して造影剤使用量を半分程度に抑えることができ、被ばくを低減すると共に検査時間の短縮にも繋がり、より患者さまの負担を軽減することが可能となりました。
冠動脈造影検査(CAG:Coronary Angiography)をはじめ、経皮的冠動脈インターベンション(PCI:Percutaneous Coronary Intervention)、下肢動脈のインターベンション(EVT:Endovascular Treatment)、肝動脈化学塞栓術(TACE:Transcatheter Arterial Chemo-Embolization)等、心血管領域、腹部血管領域における高度なカテーテル治療においてその性能を発揮しております。


X線透視
当院ではFUJI製とCanon製のX線透視装置を導入しています
透視装置はX線を断続的に照射しながら画像にすることで、消化管の動きや造影剤の流れ、カテーテルの位置などをその場で確認することができます。
主な検査や治療の内容として、胃透視(胃がん健診)、透析患者さんへのシャントPTA(経皮的血管形成術)、カテーテルやチューブの挿入・確認、ERCP(内視鏡的逆行性胆道膵管造影)等の内視鏡を併用した治療などを行っています
検査に際して不明な点がございましたらご相談ください。




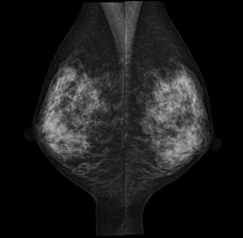
マンモグラフィ
当院では富士フィルムメディカル社製AMULET Innovalityを設置しています。
マンモグラフィは乳房専用の撮影装置を使用して行う検査で、ご自身で触知できないような早期の乳がんの発見に有用性が認められています。乳房を圧迫し薄くのばして撮影します。撮影時に痛みを伴うことがありますが、被ばく低減や質のよい画像を得る為にご協力の程よろしくお願いいたします。何かご不明な点がありましたら、ご遠慮なくお声がけください。
日本乳がん検診精度管理中央機構が定める「マンモグラフィ検診 施設・画像認定」を取得しています。これは質の高い乳がん検診を提供できると認められた施設にのみ与えられるものです。また、「検診マンモグラフィ撮影認定診療放射線技師」の資格を取得した技師を中心に撮影は全て女性技師が対応しています。



当院では以下の項目に該当する方は、乳癌検診のマンモグラフィ検査が受けられません
●植え込み型ペースメーカを装着されている方
●豊胸手術を受けたことがある方
●CVポートを留置されている方
●VPシャントを留置されている方
●妊娠中、妊娠の可能性のある方
●授乳中の方(要相談)
※ 自覚症状や異常所見が見つかった際の精密検査の場合は、この限りではありません。
骨密度検査
骨密度検査とは、骨の中にあるカルシウムなどのミネラル量を測定し、骨粗鬆症や骨折のリスクを診断するための検査です。検査では、骨折リスクの高い部位とされる腰椎や大腿骨頚部を主に測定し、概ね5~10分程度の短時間で行うことができます。また、検査データを蓄積できるので、定期的に検査を行うことで前回との比較や年齢に応じた変化や、骨粗鬆症の早期発見と予防、治療効果の確認に役立てる事ができます。
当院では、HOLOGIC社製Horizon Wiを使用し、2種類の異なるエネルギーX線を使用するDXA法(二重エネルギーX線吸収測定法:Dual-energy X-ray Absorptiometry)による高精度な測定を行い、骨強度の指標であるTBS(骨質評価:Trabecular Bone Score)も算出可能となっています。



















